Root Canal Treatment

Suffering from toothache may be one of the most difficult experiences that a person goes through, and among the common causes of this pain is inflammation of the nerve inside the tooth, and therefore the nerve filling service is one of the important medical services that aims to relieve this pain and treat nerve inflammation, and this procedure requires accurate medical skills And the use of advanced techniques to maintain the health of the tooth and get rid of these pains, so how is the nerve filled? And what are its advantages? What is the best nerve filling center? This is what we will learn about in the following, follow us.


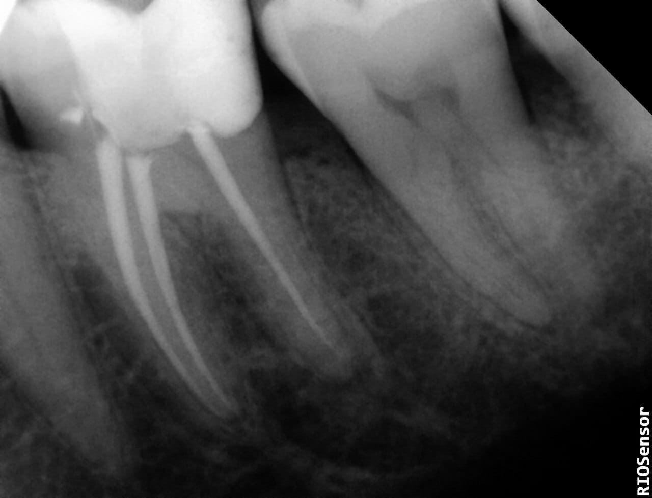
What is nerve filler?


Nerve filling is a procedure by which the damaged nerve tissue in the tooth is removed, and then the space resulting from the removal of these tissues is filled with special filling materials. To preserve the tooth and prevent the spread of infection to the surrounding tissues.


The importance of nerve filling


Dental nerve filling treatment is an important medical procedure used to preserve the damaged tooth and prevent the spread of infection to nearby tissues. The importance of nerve filling is as follows:

 

  • Keeping the affected tooth in place instead of removing it.
  •  Getting rid of pain associated with nerve infections and radiculitis.
  • Preventing the spread of infection to neighboring tissues.
  • Preserving tooth function and its natural  appearance.
  • Improve the general health of the mouth and teeth.


How is the nerve filling of the teeth?


The nerve filling of the teeth is performed in several consecutive steps, which include the following:

  • Evaluate the condition of the affected tooth and perform tests to determine the need for a filling.
  • After confirming the need for a nerve filling, the doctor anesthetizes the area of the tooth to be filled.
  • This is because the patient does not feel any pain during the procedure.
  • A small incision is made in the surface of the tooth to reach the root, and then the pulp and nerve of the affected tooth are removed, through the use of special tools.
  • Root canal cleaning to eliminate bacteria and sediment.
  • Finally, the root canal is filled with a special filler material that prevents the spread of bacteria and infection.
  • After this procedure, the tooth may need a fez, to protect it from fracture.


Who is the best nerve filling center in Egypt?


If you are looking for the best nerve filling center in Egypt, the A.CLINICS center is one of the best dental and cosmetic centers that provide nerve filling services for teeth, because it has extensive experience in all dental specialties in addition to that it has a medical team with high efficiency and experience, and it relies On the latest medical technologies used in dental nerve filling and other advantages.


If you would like to book at A.CLINICS, contact us via the text message service on the website, and our medical team will reply to you as soon as possible.

Contact Us

01030101585